Our chromosomes are essentially the blueprint of our body. Consisting of proteins and DNA, they carry the genetic information of our body. Humans have 23 pairs of chromosomes. 1 through 22 pairs of numbered chromosomes are called autosomes, while one pair is a sex chromosome, either X and Y. A cytogeneticist is a medical professional that is dedicated to examining a human's chromosomes under a microscope. They will identify how the chromosomes are arranged, which will help lead to a diagnosis of the patient.
There are multiple approaches to analyzing discrepancies, including the molecular approach and the cytogenetic approach.
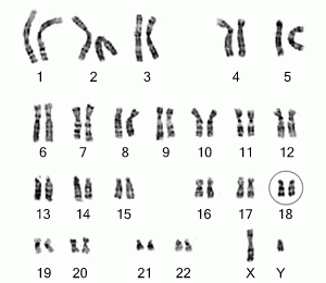
Cytogenetic Approach
The cytogenetic approach identifies chromosome abnormalities. After chromosomes are fixed and sit in cell culture before they spread on microscope slides and stained. The staining methods help distinguish between each individual chromosome and are analyzed under a microscope or in pictures.
Molecular Approach
Microarray analysis is utilized for the molecular approach. A microarray is a method used to detect the expression of thousands of genes at once. Microarray slides have thousands of tiny spots that consist of a DNA sequence of genes, often known as a gene chip or DNA chip. You can learn more about our microarray process here.
Prenatal Chromosome Testing
Prenatal chromosome testing will help you and your medical professional determine if further diagnostic testing is required. If the screening test indicates that there is a possibility that your baby has Down syndrome, trisomy 13 or trisomy 18, or other chromosome abnormalities. These tests are able to diagnose 99.9% of chromosomal abnormalities.
First trimester screen: The first trimester screening utilizes blood work and an ultrasound to measure the fetal nuchal translucency. According to Beth Israel Deaconess Medical Center, this test detects 85% of fetuses with Down syndrome and 90% of fetuses with trisomy 13 or trisomy 18.
Quadruple screen: A maternal serum quadruple screen, also known as a second-trimester screen, is conducted by taking a blood test between 15 to 20 weeks gestation. This test provides an estimation of the chance that a pregnancy will be affected by chromosome abnormalities. This test detects 80% of fetuses with Down syndrome, 65% of fetuses with trisomy 18, and 90% of fetuses with open NTDs.
Sequential screen: A sequential screen utilizes both the first and second-trimester screens that increase the detection rate of Down syndrome and trisomy 18. Once you receive the results for your first-trimester screen, you will have the option of getting your second-trimester screening. If you decide to get your second-trimester screening, the results will incorporate the results from both screenings. Sequential screening detects more than 92% of fetuses with Down syndrome and greater than 92% of fetuses with trisomy 18.
Our biorepository offers a wide variety of testing including microarrays, frozen tissue samples, biofluid samples, blood samples, and more. Contact us to learn more today!
Resources:
https://www.genome.gov/genetics-glossary/Chromosome
https://www.chromosome18.org/diagnosis-of-chromosome-abnormalities/
https://fenwayhealth.org/wp-content/uploads/Chromosomal-Abnormalities-Brochure.pdf
https://www.nature.com/scitable/definition/microarray-202/


